
Dental
Professional dental care for a healthier, more confident smile.
Our dental treatments focus on maintaining, restoring and enhancing your smile’s natural beauty, while taking care of your overall oral health.

Wellness
Your health and wellbeing matter.
With services like health checks to catch issues early, tailored advice, and vitamin drips to give you an energy boost, you can feel your best inside and out.

Aesthetics
Enhance your natural beauty and feel your best.
Our facial aesthetics treatments are designed to complement your smile, leaving you looking refreshed, revitalised, and confident.

Membership
Exclusive care for your whole health and wellbeing.
As a valued member of Leeds Wellness Dental Implant & Aesthetics Care, you’ll benefit from general health observations during your check-ups. So you can smile brighter and live healthier every day.


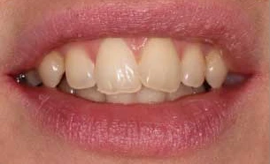
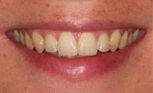
Tailored dental treatments for your lasting confidence




If you’re looking to straighten your smile without the need for fixed orthodontic braces, Invisalign clear aligners may be the perfect solution.
As an Invisalign Platinum Provider, we can help you achieve the smile you’ve always wanted in a virtually invisible way, but with visible results.
- Comfortable and discreet
- No food or dietary restrictions
- Predictable results


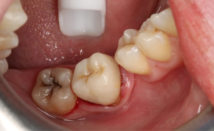
Losing teeth can affect your confidence and daily life, from eating to smiling.
Replacing a missing tooth or teeth can help you look younger and healthier, and improve your self-esteem. A long-lasting and effective tooth replacement solution, dental implants look, feel, and function just like natural teeth.
- Natural appearance
- Speak, eat and drink without embarrassment
- Long-lasting


Prevention is key to lifelong oral health, and regular dental check-ups are vital for keeping your smile in top condition.
By visiting us twice a year at our Headingley dental practice, we can catch problems early, avoid complicated treatments, and help you maintain great hygiene habits for a smile you’ll love to share.
- Maintain good oral health
- Spot potential issues early
- Oral cancer screening for peace of mind


Keep your smile radiant and your gums healthy with our gentle yet effective professional dental hygiene care.
From tackling stubborn stains to preventing gum disease, our treatments are designed to keep your teeth and gums in the very best condition.
- Prevent gum disease
- Full scale and polish removes plaque build-up
- Fresh breath and a sparkling smile



Providing exceptional, holistic dentistry in Leeds since 1940
Good oral health goes beyond a beautiful smile – it plays a crucial role in supporting essential health systems, including your immunity and overall wellbeing.
At our Far Headingley practice, we take a holistic approach to your care, offering more than just routine dental treatments – we focus on enhancing your smile while contributing to your broader health objectives.
It’s all about resetting, finding balance, and helping you feel your absolute best, from the inside out.




Your mouth is the key to more than just a bright smile –it’s the foundation for your overall wellbeing. Research shows that oral health influences everything from immunity to mood. Take good care of your mouth to support a happier, healthier you.

Itravenous vitamin drips
Looking to boost energy, strengthen your immune system, or enhance your skin and hair? Intravenous vitamin drips deliver essential nutrients directly to your body for faster recovery and optimal wellness.

Anti-wrinkle treatment
Turn back the clock and look as youthful as you feel. Anti-wrinkle treatment smooths lines and restores volume, rejuvenating your face for a refreshed, vibrant appearance.

Dermal fillers
Enhance your natural features with dermal fillers. Replenish lost volume and redefine contours for a more balanced, harmonious look.


Gentle, tailored care for the whole family in a spa-like environment
The Leeds Wellness Dental Implant & Aesthetics Care team combines years of professional and medical training to provide you with safe, effective treatments and care.
Uniquely trained to recognise how oral health connects to your overall wellbeing, we can help you achieve better health for the whole of you.
- Providing exceptional dentistry in Far Headingley since 1940
- A family friendly, spa-like environment
- Easy to reach location with private parking
- 0% finance payment plans
- Skilled medical professional caring for your oral and overall health


Join us - book your consultation today in Leeds
Take the first step to a healthier smile by booking your consultation at our Far Headingley practice. Our friendly team will take time to get to know you and your goals. We’ll assess your oral and overall wellness, offer tailored advice and explain how our membership plan can help support your long-term wellbeing.



Frequently asked questions about Leeds Wellness Dental Implant & Aesthetics Care
Where in Leeds is your practice based and is it easy to reach?
You can find us at 74 Otley Rd, Far Headingley, Leeds, LS16 5LG. For patients driving to us we have a private car park at the back of the clinic for your convenience. Plus, we’re on a bus route, making it easy to reach us if you’re travelling from throughout North Leeds and areas including West Park, Weetwood, Kirkstall, Meanwood, Adel and Hyde Park.
How can you help if I'm nervous about visiting the dentist?
At Leeds Wellness Dental Implant & Aesthetics Care, we’re committed to making your dental visit a positive experience. Whether it's through a friendly conversation about your concerns, using gentle Wand technology for pain-free injections, or offering safe and effective IV sedation, we’re committed to putting nervous patients at ease.
Do you offer a free consultation for new patients?
Yes, we offer free consultations for treatments like Invisalign and implants with our Growth Manager. The consultation includes a scan and photos, followed by a discussion of your treatment options, costs, and next steps.We also provide in-house referral consultations if another clinician may better suit your needs. After your appointment, we follow up with a call and email to ensure all your questions are answered. You can book a free consultation online or by calling us on 0113 275 1323.
What happens during treatment?
During your Invisalign assessment, we will take digital photographs, X-rays if needed, and a 3D scan or impressions of your teeth. We will also assess your bite and examine your smile. Using this information, your Invisalign dentist will carefully design your personalised treatment plan, mapping out how each aligner will move your teeth step by step.
Once your custom aligners are created, you’ll receive your first set along with guidance on how to wear and care for them. You’ll need to wear your aligners for 20–22 hours a day, changing to a new set approximately every 1–2 weeks.
Throughout your treatment, you’ll visit your dentist every 4 to 6 weeks for progress checks and to receive your next sets of aligners. The total treatment time varies depending on your individual case.
How do Invisalign clear aligners work?
Invisalign clear aligners gradually move your teeth into a straighter position using gentle, consistent pressure. Made from BPA-free, clear plastic, each aligner is designed to shift your teeth progressively over time. You'll wear each set of aligners for about two weeks before switching to the next set, with each set bringing your teeth closer to the desired alignment.
Can I remove my Invisalign aligners during treatment?
Yes, you can remove your Invisalign aligners, but for the best results, they should be worn throughout the day, except when eating or drinking. Consistent wear is key to ensuring your teeth move as planned. Treatment typically lasts between 9 to 18 months, depending on your individual needs.
How do I know if I’m a good candidate for Invisalign?
The best way to determine if Invisalign is right for you is to book a consultation with our team at Leeds Wellness Dental Implant & Aesthetics Care. During your visit, we'll assess your teeth and discuss your goals to see if Invisalign is the best option. We offer several teeth straightening treatments to close the gap in your smile. Our team will guide you through all available options to help you achieve the desired results.
Are anti-wrinkle treatments and dermal fillers safe?
Yes, our anti-wrinkle treatments are safe and effective, performed by our skilled team with many years of combined medical and professional training. At our Leeds practice you’ll enjoy a comfortable, spa-like environment, making it a wellness treat for your skin that leaves you feeling refreshed and looking fantastic.
Will the treatment be painful?
Most treatments cause only minimal discomfort, typically a quick pinch or slight pressure. However, we understand that sensitivity can vary, so if you're concerned, we can apply a numbing cream to help keep you comfortable.
Can I combine treatments for a full smile makeover or other dental enhancements?
Yes, absolutely! Many of our patients choose to combine treatments to achieve their ideal results. Whether you're looking for a combination of teeth whitening, veneers, Invisalign, or other cosmetic procedures, we can create a personalised plan just for you. During your consultation, we'll discuss your goals and guide you through the best options and treatment combinations to give you the smile you've always wanted.
What are the benefits of intravenous vitamin drips?
Intravenous vitamin drips with B-complex vitamins, like B12 and B6, help boost energy, improve mood, and support brain function. They also strengthen your immune system, promote healthy skin, and aid in digestion. This fast treatment hydrates and detoxifies, giving you an instant wellness boost.
Find out more about how the intravenous vitamin drips we offer at Leeds Wellness Dental Implant & Aesthetics Care could help you.
















