Six Month Smiles in Far Headingley
Six Month Smiles is an industry award-winning cosmetic brace system for teeth straightening developed in the USA, available at Leeds Wellness Dental Implants & Aesthetics Care.

"I have recently joined this dentist after being with my previous practice since I was a young child. Everybody is very friendly & helpful.
I was dreading the dentist and the experience was absolutely fine, I felt very comfortable and the dentist (Ben) remembered I’d told him I worked in travel from a previous appointment which was a nice personal touch.
Deffo recommend if you’re looking for a new dentist 🦷"



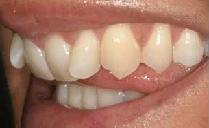
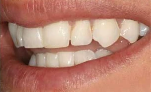
A fast, discreet path to a straighter smile
People with crooked teeth often end up covering their mouths when they laugh, smile or talk. They feel frustrated because they do not want to wear metal braces for several years or they are concerned that other corrective procedures could be too invasive or too expensive.
There is now an alternative to traditional orthodontic braces with the effective, safe and affordable Six Month Smiles cosmetic brace system which uses proven orthodontic techniques, modern materials, and innovative dentistry.

Targeted teeth straightening in just months
The Six Month Smiles teeth straightening system is a form of Short Term Orthodontics (STO). The key difference with this treatment compared to traditional orthodontic treatment is that the back teeth are not moved and only the teeth seen when smiling are straightened. Short Term Orthodontics is generally appropriate when a patient is already content with the position of their back teeth, and it is just the front teeth that are crowded and require aligning.
- 4 to 9 months treatment time versus 18 to 30 months for traditional braces
- White components blend with your teeth for a less noticeable look

Benefits of Six Month Smiles
- Straighter teeth look better and are easier to clean
- Six Month Smiles takes a fraction of the time of traditional orthodontics.
- Six Month Smiles can be much cheaper than traditional orthodontic treatment
At our Far Headingley dental practice we know how much a smile can be lifted with a simple course of home tooth whitening. That is why at the conclusion of Six Month Smiles treatment, we like to offer a free home tooth whitening course. This treatment would usually cost around £300, but is complimentary with Six Month Smiles treatment here in Leeds.


Frequently asked questions about Six Month Smiles
How do I maintain my smile?
As with all Orthodontic treatment, once the teeth have been aligned it is important to keep the new tooth positions stable. This is achieved by retainers, which are bonded (fixed) on the back of the teeth where they cannot be seen. You will also be provided with a clear removable retainer.
What happens during Six Month Smiles treatment?
During your Six Months Smiles full case assessment appointment we will take digital photographs, X-rays if required, impressions, assess your occlusion (bite) and examine your smile. This information along with your dentist's report is sent to the 6 Month Smiles laboratory. Following this you will be fitted with your custom designed Six Month Smiles Braces which are made up of small clear brackets and white wires. After this first fitting you will need to visit your dentist every 4 to 5 weeks for regular adjustments of your braces until the end of your teeth straightening treatment.
Is Six Month Smiles suitable for everyone?
This treatment is ideal for patients who are happy with the position of their back teeth and only need to correct crowding or misalignment of their front teeth.
Are Six Month Smiles braces invisible?
While not completely invisible, they are much less noticeable than traditional metal braces due to their clear brackets and white wires.
Can I eat normally with Six Month Smiles?
You should avoid hard, sticky, or chewy foods that could damage the braces. Cutting food into smaller pieces and chewing carefully can help prevent issues.
Will I need a retainer after treatment?
Yes, as with all orthodontic treatments, a retainer is needed to maintain your results and prevent teeth from shifting back.
Book your free teeth straightening consultation in Weetwood
To discuss how Leeds Wellness Dental Implant & Aesthetics Care can help you improve your smile with Six Month Smiles or other teeth straightening services, contact us to arrange your free consultation.













