
A Cosmetic Dentistry Case Study
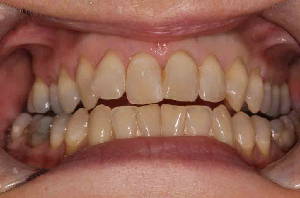
"This lady came to FHDC for advice as to how she could feel more confident with the appearance of her smile through cosmetic dentistry.With the aid of colour photography we assessed and discussed her smile aesthetics, and ascertained that she would like to straighten her upper front teeth, accept the crowding of the lower teeth and lastly whiten the teeth.

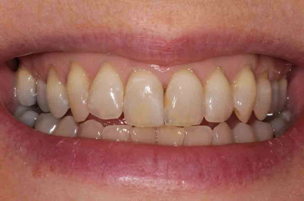
We discussed the lack of contact between her front teeth when the rest of the teeth meet when biting and how this could be fully addressed under the care of a Specialist, but that this would probably also require initial surgery. This was not acceptable to the patient, who explained that her requirements were to have simple treatment over a short timescale, that would achieve her aim of giving greater confidence when smiling.We then discussed the different techniques for tooth straightening, including aesthetic tooth-coloured components, as well as clear aligners. The patient felt that with her work in dealing with the public she would be more comfortable with clear aligners, which are nearly invisible.Treatment proceeded well, with periodic review appointments to check on the progress. After five months the teeth were straight and in a better relationship. The patient and myself were very pleased with the result.

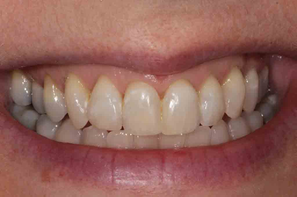
Tooth whitening was done at home using specialised gel, which took about 3 weeks.After that, some minimal replacement and re-contouring of some of the fillings in the front teeth was done using tooth-coloured restorative resin, which enhanced the result further.

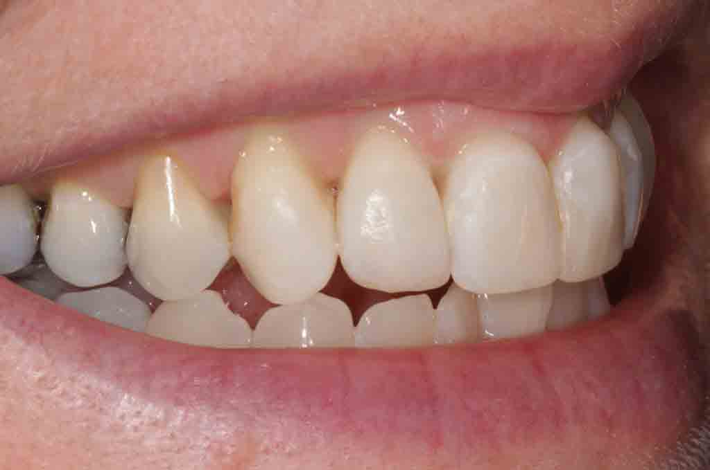
At a subsequent review our patient expressed great satisfaction with the result achieved so far, but asked if anything could be done to reduce some white enamel spots (mottling) that had been present for many years. After discussing the different options, ICON resin treatment was performed to reduce the white spots on the enamel. ICON is a resin-based material which is carefully allowed to absorb into the area of the white spots and which causes the enamel to reflect light like normal enamel, causing the appearance of the white areas to reduce or disappear altogether.

Taking a patient through a step-by-step journey in which a noticeable improvement is made to the smile at each stage, is very satisfying for both the dental team as well as the patient"If you have concerns with the appearance of your teeth and would like to book a consultation with, please call the practice on 0113 275 1323 or follow this link.



