
Another Delighted Invisalign Client
"I'm really lucky to have clients who are as lovely as Ruth, one of my recent Invisalign clear braces treatment cases. I like being able to take the time in my private dental practice in Leeds to get to know my patients and find out what they need and also what they would like.

Ruth featured in one of our earlier blog posts and we've recently completed her treatment.

Ruth was very happy with the results and kindly provided this lovely review about her Invisalign treatment at FHDC...Really smooth process, lovely staff and very accommodating with appointment times. Loved my result. Better than expected and such an easy treatment!

Thank you Ruth for choosing Far Headingley Dental Care for your Invisalign teeth straightening and for your very kind feedback. We look forward to seeing you again in the future for your regular dental check up.Whilst Invisalign is one of our most popular teeth straightening treatments we also provide Quick Straight Teeth and Six Month Smiles too.

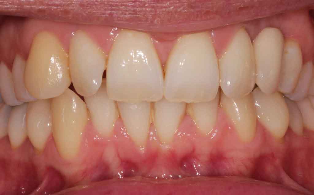
Before Six Month Smiles Treatment


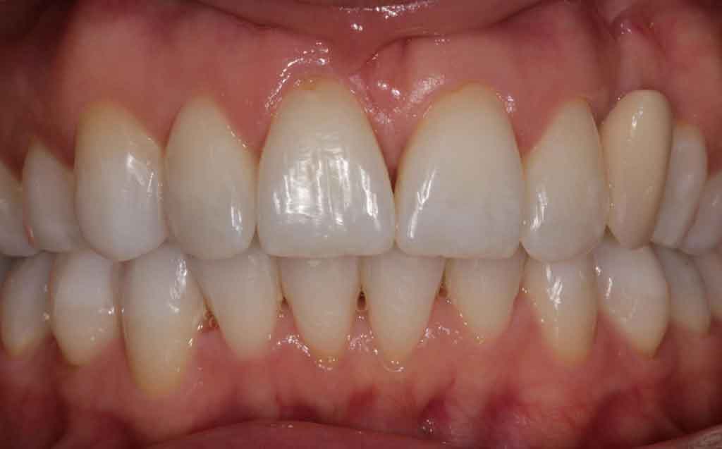
After Six Month Smiles TreatmentThe above images show before and after treatment images for Six Month Smiles. Another one of my lovely clients, Helena, chose this teeth straightening system as she wanted to have a fixed retainer rather than a removable one.Helena kindly posted a Google review giving feedback about her experience...Came to FHDC for the Six Month Smile straightening treatment, I had a few stubborn teeth which meant the brace was on 12+ months but was so pleased it wasn't rushed and was definitely worth it! Very professional staff, & I always felt involved in the decisions being made throughout my treatment. A friendly and accommodating service, I am very pleased with the results and would highly recommend!Thank you Helena for taking the time to post a review on Google and for choosing FHDC.Teeth straightening in the form of short-term orthodontics is a relatively quick and non complicated treatment process which can deliver fantastic results. If you would like to find out more about the teeth straightening options available at our practice, you can book a consultation online."



