
Focus on Dental Veneers
Dental Veneers are now one of the most requested services at our Leeds based dental clinic.
What are Dental Veneers you might be asking? Well quite simply they are one of the most cost effective and impactful cosmetic dentistry services that are available from Far Headingley Dental Care. Veneers are a thin laminates of tooth coloured porcelain, ceramic or composite bonding material which are cemented to the front surface of your teeth teeth to improve cosmetic appearance.
Why would I want dental veneers?
Teeth my not be attractive for a variety of reasons. You may have damaged, chipped or broken your teeth. They may have become badly worn as teeth naturally wear down you grow older (or you may be someone who grinds your teeth). Older teeth are simply more likely to have chips, cracks or a generally uneven appearance. Your teeth may have white spots and you are not suitable for White Spot Treatment. Your teeth may be stained and yellow to a point that Teeth Stain Removal with our dental hygienist would not be effective.You may have gaps in your teeth that you would like to address quickly and do not wish to wait for teeth straightening. Amazing results can be achieved very quickly when you choose dental veneers from one of the dentists at FHDC.
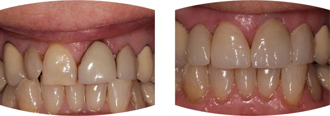
Dental Veneers can transform your smile

The above photos are from a recent treatment plan. The pictures speak for themselves. There are a variety of dental veneer options available at FHDC including the Ivoclar Vivadent Emax System.

FAQ’sHow much do dental veneers cost?
All dental veneers treatment plans at FHDC are personalised. For more information please visit our Fee Guide.
My teeth are crooked. Can I have veneers?
Yes, if teeth are not too crooked, veneers can be placed over the tooth’s front surface to give a straighter and whiter smile.
My teeth look horrible, what can I do?
Over time your teeth may become worn, dulled, and discoloured. This is often caused by consuming soft drinks, tea or coffee, beer and wine, smoking or the use of certain medicines. Dental veneers can be used to cover up your worn teeth to make them look clean, white, straight and healthy.
How can I speak to about dental veneers?
If you would like to see a new dentist or dental hygienist, you can register with us online here.If you require further information, please have a look at the Oral Health Foundation's Dental Veneers page.



