
Invisalign and Composite Bonding case study
Invisalign and Composite Bonding case study
"Invisalign is becoming an increasingly popular choice with patients who wish to improve their smile. The digital nature of the planning allows us to create predictable, bespoke smile improvements in the most minimally invasive way possible.In this case I discuss how we achieved that using a combination of Invisalign Go and minimal composite bonding.


The patient presented to us at a recent 'Invisalign Day' concerned about the position of her teeth. She didn’t like how her front teeth were crossed over and her canine teeth were very prominent. She wanted to improve her smile whilst keeping the teeth looking natural.I took a digital scan of the teeth and a comprehensive series of photographs to treatment plan the case. This allows me to assess each case thoroughly and create a bespoke treatment plan for each patient. I planned to straighten the teeth using Invisalign and then place natural looking composite on 3 teeth to improve the tooth proportions and symmetry of the smile. The pictures below show the position of the teeth after Invisalign treatment and the planned shape of the composite.





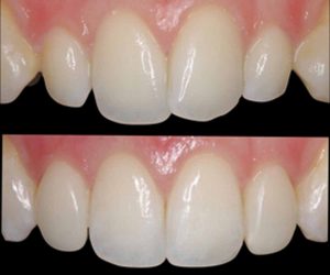
Once the teeth had been positioned ideally we then placed the composite in a single visit. Rubber dam was used to ensure the teeth remained perfectly dry during placement – this is important in placing composite bonding that lasts.


Here we can see the final result, a well aligned, symmetrical and natural looking smile. Both patient and I were very happy with the outcome".





If you are interested in having a consultation at FHDC, you can arrange an appointment by calling 0113 275 1323 during normal opening hours, or book a New Patient Consultation via our website here. Alternatively you can try our Virtual Smile Consultation.



