
The year of natural looking teeth
The year of natural looking teeth
What sort of smile do people want in 2019? FHDC's Principal Dentist reflects on what she and her colleagues have been experiencing over recent months...
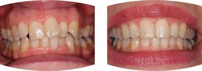
"More and more people are asking for a natural look with their teeth. They still want them to be straighter and whiter, but the Hollywood A Lister or TOWIE over white teeth and full arch veneers trend seems to have reduced over the last year. People want their teeth to look healthy rather than be glaringly A1 shade white and obviously fake. Slight natural imperfections and colouring in our teeth help create our individual smile. I think that people are also being more patient with results and are opting for teeth straightening, whitening and reshaping with dental composites rather than quick cosmetic fixes.
Whilst dental veneers continue to be a trend that a lot of people are requesting, these are not the Love Island veneers of recent years, but rather a more natural look using porcelain that is crafted by our dental laboratories to match your natural teeth.
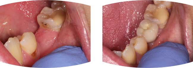
The replacement of silver / amalgam fillings with tooth shade matched white composite fillings for 'Generation x' who probably had these provided under the NHS in the 80's, 90's & 00's continues to increase. This is a relatively simple procedure for me to carry out and provides a dramatic result. Advances in dental composite technology over recent years allows us to create a natural look within our practice and has reduced the need for expensive porcelain crowns to hide away damaged teeth.

Teeth Straightening using Short-Term Orthodontics (STO) with systems including Invisalign, Quick Straight Teeth & Six Month Smiles allows transformational straightening of crooked teeth in circa 4-9 months which is much quicker than traditional orthodontics. Invisalign in particular is more popular than ever. Lots of people like to use clear aligners rather than using a system that is attached to the teeth.

Dental Implants provide the best solution for missing teeth and not only can be created to look natural, they also provide the same functionality to eat food that a real tooth would provide and you wouldn't get with a denture.

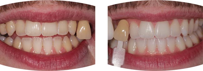
Unsurprisingly the most popular cosmetic dentistry service we provide at FHDC is Teeth Whitening. Of the two systems we provide at FHDC, Enlighten combination in-surgery and at home teeth whitening is proving most popular as not only are the results achieve quicker, they are also guaranteed by Enlighten to deliver an attractive B1 shade. Boutique at home teeth whitening is very popular too for those people who want a less expensive solution and don't mind applying the whitening at home.

Finally my advice for achieving a nice healthy looking smile is to start with the basics. A good oral hygiene routine where you brush twice a day for 2 minutes, floss and think about what you eat and drink will help to avoid decay and staining. Keep on top of your regular routine dental check ups and hygiene visits and this will help keep your teeth healthy. If you are confident with the oral health basics and are still not happy with the appearance of your teeth, book in for a new patient consultation and let us give you some professional advice on what options are available to you".



