
Top Tips for Whiter Teeth
FHDC is one of the leading providers of Teeth Whitening in the Leeds area. Here are a few simple tips that can help you achieve whiter teeth.
Whilst we are a key provider of both Enlighten and Boutique teeth whitening systems at FHDC, we are also happy to share some simple tips on how to keep your teeth looking fresh and white.
Tip #1 - Visit Your Dentist & Hygienist
It's obvious advice really from a dental practice! The facts are though that people who visit their dentist for regular dental check ups and who visit their dental hygienist for regular cleaning, tend to have healthier and whiter teeth. This is because they are more motivated and aware.Professional dental hygiene visits ensure that plaque and calculus that cannot be removed by simple brushing are removed before they cause decay and yellowing of the teeth.

Tip #2 - Invest in a decent electric toothbrush
Traditional 'manual' tooth brushes are fine (and we have lots of patients who have lovely and white teeth who use a traditional toothbrush) but electric toothbrushes are better. There are many brands of electric toothbrushes available including Philips Sonicare and those from Braun Oral B. You don't have to opt for the top of the range electric brushes.We do advise getting a rechargeable one over a battery operated electric brush as they tend to be more powerful thus cleaning better and keeping your teeth whiter.

Tip #3 - Don't forget to change your toothbrush (head)
This is one of our key pieces of advice... Don't forget to change your toothbrush / toothbrush head circa every 3 months. The image above shows a 'healthy' toothbrush head and an 'unhealthy' toothbrush head. If you think how many hundreds of thousands of times your toothbrush head is oscillating at speed and the friction created as the bristles remove the plaque and food debris from your mouth, there's no wonder that they have a limited life.You might not have noticed but most toothbrushes contain 'indicator bristles' which start to fade from blue to white as the brush head wears out. A good, firm, 'healthy toothbrush', will help keep your teeth white and healthy.
Tip #4 - Watch what you eat and drink
Different foods and drinks can stain your teeth causing them to look yellow or brown. Tea, coffee alcoholic drinks including red wine and beer are some of the drinks most likely to cause teeth staining. Brightly coloured 'processed' food such as curries or foods with synthetic food colouring are the types of food which stain teeth the most. We're not saying don't eat and drink these thing, just make sure that you have a proactive oral hygiene routine to combat the effects.
Tip #5 - Quit smoking
Not only will you have an increased risk of getting various cancers including lung and oral cancer, smoking is particularly bad for staining and discolouring your teeth. You are also more at risk for getting gum disease and losing teeth as smoking causes your gums to recede. There is lots of useful information on the NHS Website to help you quit smoking. The money you save could be used to pay for professional teeth whitening!

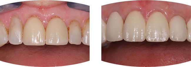
Tip #6 - Try professional stain removal
If you are considering teeth whitening, you may be advised to consider deep cleaning first the Air Flow technique as heavy staining can prevent the teeth whitening agents from working. Deep cleaning is also a simpler and less expensive treatment than teeth whitening.A mixture of air and special Airflow flavoured sodium bicarbonate powder is combined with a focused water jet to remove plaque and staining from teeth, fast and painlessly. The results can be very pleasing with not only cleaner and healthier teeth free of plaque and calculus, but also whiter teeth too.

Tip #7 - Read our free teeth whitening guide
Despite your best efforts at home and with your diet and with professional cleaning at your dental practice, you may simply be prone to having yellow or discoloured teeth. Don't worry as there are a lot of teeth whitening options available to you to help you achieve whiter teeth. We have written a simple guide to teeth whitening to help inform people of the options.If you would like to make an appointment with your dentist or dental hygienist to discuss ways that FHDC can help you whiten your teeth, please call us on 0113 275 1323 or use the form on our Contact page.If you would like to see a new dentist or dental hygienist, you can register with us online here.



