
What Are Turkey Teeth (& 9 Essential Questions)?
Why are Turkey Teeth?
Turkey Teeth is a phrase used to describe dental tourism to the country of Turkey. It is not inherently wrong to get your teeth fixed in Turkey or any other country. Many people travel abroad for dental procedures, including cosmetic dentistry such as dental veneers, dental crowns or full smile makeovers.This may be due to reasons such as perceived cost savings or access to specialised treatments, that they may not have where they live.Often with dental tourism, the dental treatment cases are very complex and people are attracted to cheap dentistry and a quick fix for their bad teeth.

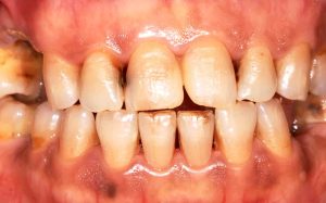
Turkey teeth are gone wrong
Unfortunately, people on social media have become quite obsessed with the problems associated with dental tourism and the search term ‘turkey teeth gone wrong’ has recently trended as one of the highest searched dentistry terms. Turkey teeth is generally accepted as a term for bad dental work received abroad.There are many stories about patients returning home with unnatural-looking teeth and feelings of discomfort and pain. A lady who was featured in The Sun newspaper has complained that since having dental crowns abroad, she now has a lisp and she cannot close her mouth properly, she has got awful pain in her jaw too. This man featured in The Metro spent thousands of pounds on treatment that has left him in pain and 'shark teeth'. Like many others, they have regretted having dental treatment abroad.
Is it bad to get dental treatment abroad?
It is important to exercise caution and carry out thorough research when considering any medical or dental treatment either at home or abroad if you need a new dentist. There are several factors to consider:
What are the dental care & safety standards?
Ensure that the dental practice or the dentist you choose adheres to high standards of hygiene, safety, and quality of care. Look for accreditations, certifications, or positive reviews from reputable sources. Check if they are legitimate. In the UK dental practices have to be registered with the Care Quality Commission.
Is the dentist legitimate?
Verify the qualifications, experience, and expertise of the dentist who will be providing treatment. Check if they are registered with relevant dental associations or boards. In the UK dentists are required to register with the General Dental Council and it is easy to check that a dentist is allowed to work in the UK by searching the GDC register online.
Can you speak the same language?
Make sure there is effective communication between you and the dentist if you travel abroad to Turkey or other countries. Can you speak their language? If you don't speak Turkish, confirm that the dental staff can communicate with you in a language you understand, or that they have translators available.Alternatively, you can employ your translator, but this would add additional costs. It is very important that the dentist understands what you want and that you understand the limitations of what they can provide. You must get a copy of everything that is agreed in writing.
Do you understand the treatment plan?
Discuss the treatment plan thoroughly with the dentist before proceeding. Understand what the procedures are that you will be provided, the materials used, and the expected outcomes.
What guarantees & aftercare?
Establish what follow-up care will be required and make sure that you are provided with aftercare instructions. How many appointments will you need and how often will you be required to visit the dentist? Is this feasible within the time you allow for a trip?Whilst it is desirable to get dental treatment done quickly, often there will need to be a process that for the best results, could take weeks or even months to complete as your mouth adjusts and heals during the treatment process.How long will the treatment be guaranteed? What are the laws in the country you are going to in regards to the dentist legally having to resolve any problems that you may encounter? In the UK you can usually expect at least a 12-month guarantee for dental treatment.
What are the costs?
Consider the logistics and costs associated with travelling to another country for dental treatment. In addition to the cost of the dental diagnosis and treatment, there will be other costs that need to be added. This will include accommodation, transportation, insurance and any additional expenses that may arise during your stay.What happens if you have a problem when you get home? Have you factored in the cost and inconvenience of return travel?
What are the risks of travelling to Turkey for dental treatment?
You must understand the potential risks and complications associated with the specific dental procedures you are considering. Often people are attracted by the appearance of cheap cosmetic dentistry. Do you know what you are getting and how you would rectify any problems?Ask the dentist about the success rates, possible side effects, and long-term outcomes. Can they provide genuine testimonials from previous patients who may be willing to talk to you?It's worth noting that while there are reputable dental clinics in Turkey, there may also be establishments that do not meet the standards you would expect at home. This is not unique to Turkey and can be a concern when seeking healthcare services in any country.The decision to have dental treatment in Turkey or any other country should be based on thorough research, careful consideration, comprehensive costings and consultation with trusted healthcare professionals. You can avoid turkey teeth problems by understanding the risks.If you are considering dental treatment and would like to avoid it when Turkey Teeth go wrong, you can book a new patient dental consultation with an FHDC dentist in Leeds. You can book an appointment online 24/7 here or call our friendly reception team on 0113 275 1323 during normal opening hours.



